| 診療時間 | 月 | 火 | 水 | 木 | 金 | 土 | 日 | 祝 |
|---|---|---|---|---|---|---|---|---|
| 9:00-13:00 | 〇 | 〇 | / | 〇 | 〇 | 〇 | / | / |
| 14:30-18:30 | 〇 | 〇 | / | 〇 | 〇 | 〇 | / | / |
- ※受付は診療終了の30分前まで
休診日:水曜日・日曜日・祝日
新着情報
-
2026.04.14 新着情報
【猫の進化】
これが

⇩
こうなって

⇩
ひと眠り

⇩
起きたらこうなって

⇩
最終的にこうなった

こんなのも居ます(^-^)


猫の進化は凄まじいですね(・□・;)
※診療内容とは全く関係ありません。
-
2026.01.15 新着情報
【ホワイトニングセミナー】
講師を招いて院内セミナーをしました


※本人の承諾を得て写真を掲載させていただいております。
ご興味ある方はお気軽にお問い合わせください。
-
2025.12.27 新着情報
【年末年始のご案内】

-
2025.12.18 新着情報
【ホワイトニングのご案内】
歯の『大掃除』はお済みですか?一年の汚れを落として、真っ白な歯で真っさらなカレンダーを迎えよう。
まず歯の表面の汚れを、エアフローを用いて徹底的に落とします。

歯肉を保護し、ホワイトニングジェルを歯面に塗布します。

専用の照射器にて30分の照射。

薬剤塗布→照射を3サイクル行うことによって最大限のホワイトニング効果を得ます。
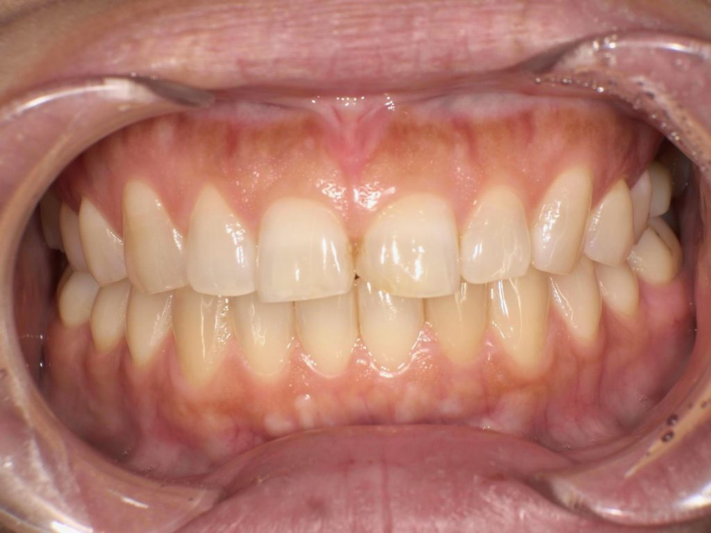
ホワイトニング前

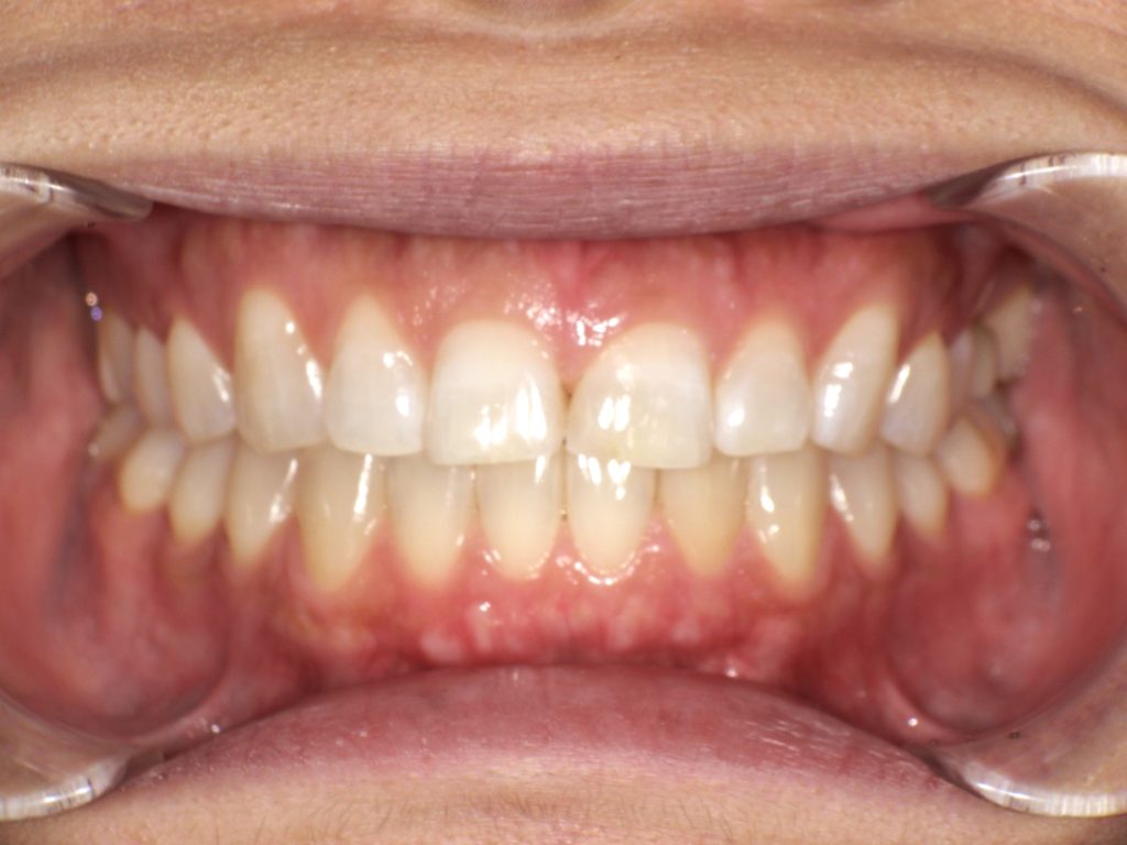
ホワイトニング後

-
2025.11.29 新着情報
【半導体レーザー】
筋肉のこわばりをほぐして、顎関節の痛みを緩和する効果が見込めます

待ち時間軽減のため、
予約優先で診療を行っております
あなたのお口の健康に、
家族のように寄り添う
私たちは大切な家族に
接するような温かい心で、
お一人お一人に寄り添った診療を
心がけています。
中でも、特に患者さまとの
コミュニケーションを
大事にしています。
お口の状態や治療内容などは、
最初に治療計画書をお見せしたうえで、
疑問や不安が解消されるまで
丁寧にご説明いたします。
お口の“いろは”、つまり健康の“基礎”となる
部分をしっかり整えることを大切に、
お子さまからシニアの方まで、
皆さまが生涯にわたりお食事を楽しみ、
笑顔で過ごせるようサポートいたします。
院長あいさつ
院長
北野 妙きたの たえ
10年後も20年後も、
すこやかなお口で
笑えるように
皆さま、こんにちは。
板野郡藍住町の歯医者
【いろはデンタルクリニック】院長の
北野 妙です。
「歯が痛い」「詰め物が取れた」
最初に歯科医院へ行くきっかけは、このような「痛み」を感じたからという方が多いでしょう。
私たちが大切にしているのは、単に痛みを和らげることだけではありません。その後の10年、20年、もっと先まで、患者さまがご自身の歯でしっかり噛んで、笑顔で過ごせることです。
家族のように親身な診療を心がけておりますので、お口のことでお悩みのことがありましたら、まずはお気軽にご相談ください。
経歴
- 徳島大学歯学部歯学科 卒業
- 徳島大学歯学部附属病院(現 徳島大学病院歯科)勤務
- その後、複数の徳島県内歯科医院に勤務
- 2025年、いろはデンタルクリニックを開院
当院の特徴

ご理解・ご納得
いただけるまで
丁寧に説明いたします
「よくわからないまま治療が始まった」という経験はありませんか?
当院では、治療計画を立て、患者さまにもご理解いただくことを大切にしています。治療内容や治療期間はもちろん、なぜこの治療が必要なのかまで丁寧に説明いたします。患者さまの同意が得られないまま進めることはありませんので、気になることや不安なことがありましたらお気軽にお声がけください。

気軽に立ち寄れる
身近な歯医者さん
患者さまがリラックスして過ごせる、楽しい雰囲気を大切にしています。院長をはじめスタッフ全員がいつも笑顔を心がけ、皆さまを温かくお迎えします。歯のお悩みはもちろん、日々のちょっとしたおしゃべりも大歓迎です。
「痛いから行く」ではなく「話したいから行く」。そんな、皆さまにとって気軽に立ち寄れる、アットホームな歯医者さんでありたいと願っています。

「いろは=基礎」を
大切にしています
歯を長持ちさせるには、予防が何より重要です。しかし歯を削ったり、神経を抜いたりする治療が必要になった場合は、感染した神経を取りきる、といった基礎にあたる治療に力を入れています。基礎がしっかりしていないと、どれほど高価な詰め物・被せ物も長持ちしません。また治療を繰り返していると、歯は少しずつもろくなっていきます。再発を防ぐ精密な治療で、大切な歯をお守りします。

先進的な設備がそろう
充実した環境
精密で高水準の治療を行うために、先進的な医療設備を導入しています。
「半導体レーザー」は光エネルギーで細菌を除去でき、痛みもほとんどないことが特徴です。「デジタルマイクロスコープ」は、肉眼では見えない患部も、80倍もの高倍率で鮮明に捉えます。「歯科用CT」は歯や顎の骨の厚み、神経・血管の位置などを立体的に映し出します。
また、ふかふかした贅沢な座り心地の診療台で、快適に治療を受けていただけます。
院内・設備紹介

受付
スタッフがいつも明るく笑顔でお迎えします。

待合室
パウダールーム完備、白を基調とした清潔感のある待合室です。

診療室
先進的なチェアで快適に治療を受けていただけます。

歯科用CT
歯・顎などの状態を3Dの立体映像で撮影できます。

デジタルマイクロスコープ
高画質・高倍率で映し出せる歯科用顕微鏡です。

滅菌器
高圧蒸気でウイルス・細菌をしっかり滅菌します。
| 医院名 | いろはデンタルクリニック |
|---|---|
| 所在地 | 〒771-1220 徳島県板野郡藍住町東中富字龍池傍示52-6 |
| 電話番号 | 088-678-8011 |
| URL | https://www.iroha-dc.net/ |
| 診療内容 | むし歯/根管治療/歯周病/入れ歯/予防・クリーニング/顎関節症/歯ぎしり・食いしばり/小児歯科/親知らず/インプラント/審美治療/ホワイトニング/マタニティ歯科診療/訪問歯科診療/マウスピース製作 |
| 施設基準 |
当医院は、以下の施設基準等に適合している旨、厚生労働省地方(支)局に届出を行っています。 詳しくはこちら |
各種保険取り扱い
保険診療を主軸に、患者さまに適した治療をご提案しています。自由診療は、あくまで選択肢の一つとしてご説明し、ご希望される方に行います。
税込み1万円以上の自由診療の場合にはお支払いにクレジットカードをご利用いただけます。
予約優先診療
待ち時間軽減のため、原則として予約制で診療しております。お電話(088-678-8011)またはWEB予約にて、事前にご予約の上ご来院ください。
急患随時受付
急患にも柔軟に対応しておりますが、混雑時はお待たせする場合がございます。ご来院いただく前に、一度お電話(088-678-8011)にてお問い合わせください。

